Skip to content Skip to sidebar Skip to footer

Why Does Methamphetamine Use Destroy Dental Health: Understanding The Link Between Meth and Tooth Decay

Why Does Meth Ruin Teeth

Why does meth ruin teeth? Methamphetamine use causes dry mouth, teeth grinding, and acidic saliva that erodes tooth enamel, leading to decay and loss.

Methamphetamine, or simply meth, is a highly addictive drug that has been wreaking havoc in the lives of millions of people around the world. The drug is notorious for its severe side effects, such as weight loss, increased heart rate, and tooth decay. Yes, you read that right - tooth decay! Meth has been known to ruin teeth in a way that is particularly devastating, with many users experiencing severe dental problems that cannot be reversed. But why does meth ruin teeth, and what can be done to prevent this from happening?

Firstly, it's important to understand how meth affects the body. When meth is ingested, it triggers the release of large amounts of dopamine in the brain, which creates feelings of pleasure and euphoria. However, this also causes a decrease in saliva production, which leads to dry mouth. Saliva is essential for maintaining healthy teeth and gums, so a lack of it can have serious consequences.

In addition to dry mouth, meth use often involves poor oral hygiene practices, such as neglecting to brush and floss regularly. This, combined with the acidic properties of meth, can cause enamel erosion and tooth decay. Meth can also cause teeth grinding and clenching, which puts additional pressure on the teeth and can lead to cracks and fractures.

Another factor contributing to meth-related tooth decay is the drug's impact on the immune system. Meth use weakens the immune system, making it more difficult for the body to fight off infections and bacteria. This can lead to gum disease, which is a major cause of tooth loss.

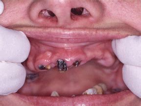
But the damage doesn't stop there. Meth use can also cause a condition known as meth mouth, which is characterized by severe tooth decay, gum disease, and tooth loss. Many meth users experience rapid deterioration of their teeth and gums, to the point where they become virtually unrecognizable.

So, what can be done to prevent meth-related tooth decay? The most obvious answer is to avoid using meth altogether. However, for those who are struggling with addiction, this may be easier said than done. It's also important for meth users to practice good oral hygiene, such as brushing and flossing regularly, and visiting a dentist for regular check-ups and cleanings.

If you or someone you know is struggling with meth addiction, it's important to seek help as soon as possible. Meth use can have devastating consequences on not just your teeth, but your overall health and well-being. With the right treatment and support, it is possible to overcome addiction and start living a healthier, happier life.

In conclusion, methamphetamine is a drug that has the potential to cause severe damage to teeth and gums. From dry mouth and enamel erosion to gum disease and tooth loss, the effects of meth on oral health can be devastating. It's crucial for meth users to take steps to prevent tooth decay, such as practicing good oral hygiene and seeking help for addiction. By taking care of your dental health, you can protect yourself from the harmful effects of meth and improve your overall well-being.

Introduction

Methamphetamine, commonly known as meth, is a highly addictive drug that has severe consequences on the human body. One of the most visible effects of meth use is the destruction of teeth. This article will explore how and why meth use ruins teeth.

What is Meth?

Meth is a synthetic drug that stimulates the central nervous system. It is highly addictive and can cause severe physical and psychological harm to the user. Meth is usually smoked, snorted, or injected and can cause an intense high that lasts for hours.

How Does Meth Use Affect Teeth?

Meth use has a significant impact on oral health, causing a condition known as “meth mouth.” Meth mouth is characterized by severe dental problems, including tooth decay, gum disease, and tooth loss. The damage to teeth caused by meth use is often irreversible and can lead to life-long dental problems.

Tooth Decay

Meth use increases the production of acid in the mouth, which erodes tooth enamel. Tooth enamel is the protective layer that covers teeth, and once it is damaged, it cannot be repaired. As a result, teeth become more susceptible to decay, and cavities form quickly. Meth users are also more likely to have dry mouth, which reduces saliva flow and makes it harder for the mouth to neutralize acid.

Gum Disease

Meth use causes blood vessels to constrict, reducing blood flow to the gums. This reduced blood flow makes it harder for the gums to fight off infection, leading to gum disease. Gum disease is a bacterial infection that causes inflammation, bleeding, and eventually, tooth loss. Meth users are also more likely to clench or grind their teeth, which can cause gum recession and damage to the jawbone.

Tooth Loss

Meth use causes severe dental problems that often lead to tooth loss. Tooth decay, gum disease, and tooth fractures are all common in meth users, and once teeth are lost, they cannot be replaced naturally. Missing teeth can cause a host of other health problems, including difficulty eating and speaking, changes in facial structure, and self-esteem issues.

Why Does Meth Use Affect Teeth?

There are several reasons why meth use affects teeth so severely. Firstly, meth is a highly acidic drug that erodes tooth enamel. Secondly, meth users often have poor oral hygiene habits, including neglecting to brush and floss regularly. Thirdly, meth users often consume sugary drinks and snacks, which further contribute to tooth decay.

Chemical Composition of Meth

Meth is highly acidic and has a pH level of around 3.0. This acidity erodes tooth enamel and can cause irreversible damage to teeth. The acidic nature of meth also reduces saliva flow, which makes it harder for the mouth to neutralize acid and protect teeth.

Poor Oral Hygiene Habits

Meth users often neglect their oral hygiene, which exacerbates the damage caused by meth use. Poor oral hygiene habits include not brushing or flossing regularly, not visiting the dentist regularly, and not using mouthwash. These habits allow bacteria to thrive in the mouth, leading to tooth decay and gum disease.

Sugary Drinks and Snacks

Meth users often consume sugary drinks and snacks, which further contribute to tooth decay. Sugary drinks and snacks contain high levels of sugar, which bacteria in the mouth feed on, producing acid that erodes tooth enamel. Meth users are also more likely to have dry mouth, which makes it harder for the mouth to neutralize acid.

Conclusion

Meth use has severe consequences on the human body, including the destruction of teeth. Meth mouth is a condition characterized by severe dental problems, including tooth decay, gum disease, and tooth loss. The damage caused by meth use is often irreversible and can lead to life-long dental problems. Meth users should seek help immediately to stop using the drug and prevent further damage to their bodies.

Methamphetamine use is a dangerous habit that can have devastating effects on a person's health, including their teeth. Meth use erodes tooth enamel, the hard outer layer of the tooth. This is because meth is highly acidic and can wear down tooth enamel faster than normal. The erosion of tooth enamel can lead to sensitivity, cavities, and tooth decay. Additionally, meth use causes a person to grind and clench their teeth involuntarily, leading to chipping and cracking of the teeth. These actions can cause serious damage to the teeth, making them weaker and more prone to decay.Another effect of meth use on oral health is dry mouth. Meth increases the production of saliva, causing a dry mouth. The lack of saliva causes the mouth to be more acidic, leading to tooth decay. Meth users often don't maintain good oral hygiene practices, such as brushing and flossing regularly. This can lead to a buildup of plaque and bacteria in the mouth, which leads to tooth decay. Poor oral hygiene also contributes to gum disease, an inflammation of the gums that can cause the gums to recede, exposing more of the teeth and increasing the risk of tooth decay.Meth use weakens teeth and can cause extensive dental work such as crowns or root canals. Tooth loss is also a common side effect of meth use due to a combination of decay, gum disease, and weakened teeth. This can cause problems with eating, speaking, and self-esteem. Methamphetamine use can also cause oral infections that can spread to other parts of the body if left untreated. These infections can be dangerous and sometimes fatal.Chemical burns are another effect of meth use on oral health. Methamphetamine is a caustic substance that can cause chemical burns to the mouth and throat. This can lead to pain, difficulty eating, and long-term damage to the teeth and gums. Meth users often experience a loss of appetite and may neglect their nutrition. This can lead to a lack of essential vitamins and minerals needed for healthy teeth and gums, leading to decay and gum disease.In conclusion, methamphetamine use has severe consequences on a person's oral health. Meth use erodes tooth enamel, causes dry mouth, leads to grinding and clenching, poor oral hygiene, gum disease, weakens teeth, causes tooth loss, oral infections, chemical burns, and poor nutrition. These effects can cause significant damage to a person's teeth, gums, and overall health. It is important to seek help for methamphetamine addiction to avoid these devastating consequences.

Why Does Meth Ruin Teeth?

The Story of Meth and Dental Health

Methamphetamine, commonly known as meth, is a highly addictive stimulant drug that affects the central nervous system. It is a synthetic drug that can be made from readily available ingredients such as pseudoephedrine, which is found in some cold medicines. Meth is a powerful drug that produces an intense rush of euphoria and energy, but it also has many negative side effects, including severe dental problems.

The use of meth can cause a range of dental problems, including tooth decay, gum disease, and tooth loss. These issues are often referred to as meth mouth, a term used to describe the extensive damage that methamphetamine can cause to a person's teeth and gums.

The Science behind Meth Mouth

There are several reasons why meth use can lead to dental problems. One of the primary reasons is that methamphetamine is highly acidic, and it can erode the enamel on a person's teeth. The enamel is the hard outer layer of a tooth that protects it from decay and damage. When the enamel is weakened or eroded, the tooth is more susceptible to decay and other dental problems.

Methamphetamine use can also cause dry mouth, which is a condition that occurs when there is not enough saliva in the mouth. Saliva helps to neutralize acids and protect the teeth from decay. When there is not enough saliva, the mouth becomes more acidic, which can lead to tooth decay and other dental problems.

In addition to these factors, meth users often have poor oral hygiene habits, and they may neglect their teeth and gums. Many meth users also consume sugary drinks and snacks, which can contribute to tooth decay and other dental problems.

The Impact of Meth Mouth

Meth mouth can have a significant impact on a person's overall health and well-being. Dental problems can be painful and uncomfortable, and they can make it difficult for a person to eat, speak, and smile. The social stigma associated with meth mouth can also be challenging, as it can affect a person's self-esteem and confidence.

Additionally, the dental problems associated with methamphetamine use can be expensive to treat. Many meth users require extensive dental work, including extractions, fillings, and root canals. These procedures can be costly, and they may require multiple visits to the dentist.

Conclusion

In conclusion, methamphetamine use can have severe and long-lasting consequences for a person's dental health. Meth mouth is a real and serious issue that affects many people who use this highly addictive drug. The acidic nature of methamphetamine, combined with poor oral hygiene habits and a lack of saliva, can cause extensive damage to a person's teeth and gums. If you or someone you know is struggling with methamphetamine addiction, it is essential to seek help and support to overcome this dangerous and destructive drug.

Table of Keywords

Keyword Definition
Methamphetamine A highly addictive synthetic stimulant drug that affects the central nervous system.
Tooth decay The breakdown of a tooth's enamel and dentin, which can lead to cavities and other dental problems.
Gum disease A bacterial infection that affects the gums and tissues surrounding the teeth.
Enamel The hard outer layer of a tooth that protects it from decay and damage.
Dry mouth A condition that occurs when there is not enough saliva in the mouth.
Oral hygiene The practice of keeping the mouth clean and healthy through regular brushing, flossing, and dental check-ups.
Sugary drinks and snacks Foods and beverages that contain high amounts of sugar, which can contribute to tooth decay and other dental problems.
Meth mouth A term used to describe the extensive damage that methamphetamine can cause to a person's teeth and gums.
Self-esteem A person's overall sense of worth and value.
Extractions The removal of a tooth or teeth from the socket in the jawbone.
Root canals A dental procedure that involves removing the pulp from the inside of a tooth and filling it with a special material.

Closing Message: Understanding the Dangers of Meth Use on Your Teeth

Thank you for taking the time to read this article about the devastating effects of methamphetamine use on your teeth. It is important to understand that methamphetamine is a highly addictive drug that can cause severe damage to your body, including your teeth and gums. If you or someone you know is struggling with addiction, please seek help immediately.

The information presented in this article highlights just how destructive meth can be to your oral health. From tooth decay and gum disease to tooth loss and oral cancer, the consequences of prolonged meth use can be devastating. It is crucial to take preventative measures, such as regular dental check-ups and good oral hygiene habits, to protect your teeth and gums from the harmful effects of this drug.

It is also important to note that the damage caused by methamphetamine use is not limited to your teeth and gums. Meth use can lead to a host of physical and mental health issues, including heart and lung problems, psychosis, and even death. Seeking treatment for addiction is the only way to truly overcome the dangers of meth use.

If you or a loved one is struggling with addiction, there are resources available to help. Treatment options such as counseling, support groups, and rehabilitation programs can provide the tools and support needed to overcome addiction and reclaim your life. Remember, it is never too late to get help and start on the path to recovery.

In conclusion, the effects of methamphetamine use on your teeth and oral health can be severe and long-lasting. It is crucial to take steps to protect your oral health, such as practicing good oral hygiene and seeking regular dental check-ups. Additionally, seeking help for addiction is essential to overcoming the harmful effects of meth use on all aspects of your life. Thank you for reading, and please share this information with others to help spread awareness about the dangers of methamphetamine use.

Why Does Meth Ruin Teeth?

What is Meth?

Methamphetamine, commonly known as meth, is a highly addictive stimulant drug that affects the central nervous system. It can be taken orally, snorted, smoked, or injected.

How Does Meth Affect Teeth?

Meth use can cause severe dental problems known as meth mouth. Methamphetamine is acidic and can erode tooth enamel, leading to cavities and tooth decay. The drug also causes dry mouth, which decreases saliva production and leads to further tooth decay and gum disease. Additionally, meth users often grind their teeth and clench their jaws, leading to cracked teeth, chipped teeth, and jaw pain.

Can Meth Mouth Be Reversed?

Unfortunately, the damage caused by meth mouth is often irreversible. Even with proper dental care and treatment, many meth users will lose their teeth or require extensive dental work, such as fillings, root canals, and extractions. Meth users are encouraged to seek help for their addiction and stop using the drug to prevent further damage to their teeth and overall health.

What Are Other Effects of Meth Use?

In addition to dental problems, meth use can cause a range of physical and mental health issues, including:

  • Weight loss and malnutrition
  • Insomnia
  • Anxiety and paranoia
  • Hallucinations and delusions
  • Heart disease and stroke
  • Liver and kidney damage
  • Seizures and convulsions

Conclusion

Meth use can have devastating effects on a person's teeth and overall health. If you or someone you know is struggling with meth addiction, seek help from a medical professional or addiction treatment center.